Ακτινογραφία Κατ’ Οικον
Ψηφιακές Ακτινογραφίες Κατ’ Οίκον Όλο Το 24ωρο Με Άμεση Παράδοση Αποτελεσμάτων.
Ακτινογραφια στο Σπιτι σε όλη την Αθήνα
24ώρες Ακτινογραφία Κατ’ Οίκον – Με Χαμηλή Δόση Ακτινοβολίας.

ΦΙΛΟΣΟΦΙΑ
Φιλοσοφία της Doctor Home Care είναι να λειτουργούμε με γνώμονα τα υψηλότερα πρότυπα ποιότητας και προσωποκεντρικό επαγγελματισμό
ΑΝΘΡΩΠΙΝΟ ΔΥΝΑΜΙΚΟ
Στη Doctor Home Care επενδύουμε στο ανθρώπινο δυναμικό με στόχο τη μεγιστοποίηση της αποδοτικότητας, της οργάνωσης και των υπηρεσιών που παρέχουμε!
ΠΟΙΟΤΗΤΑ
Οι υπηρεσίες της Doctor Home Care χαρακτηρίζονται πάντα από το υψηλό επίπεδο ποιότητας και τον επαγγελματισμό
Υπερσύγχρονη Κινητή Ακτινολογική Μονάδα στο Σπίτι σας.

Υψηλής Ποιότητας Ακτινογραφίες Απευθείας Στο Σπίτι Σας.
Διαθέτουμε υψηλού επιπέδου κινητή ακτινολογική μονάδα χαμηλής δόσης ακτινοβολίας έτσι ώστε να διευκολύνουμε άτομα που αντιμετωπίζουν κινητικά προβλήματα. Εξασφαλίζουμε άμεσα και έυκολα μία ακτινογραφική εξέταση άριστης ποιότητας, ως μέρος των ιατρικών εξετάσεων κατ’ οίκον που προσφέρουμε.
Δυνατότητα εξυπηρέτησης όλο το 24ωρο, όλες τις ημέρες του χρόνου και αποφυγή της πολύωρης αναμονής για την εκτέλεση της εξέτασης καθώς και για την έκδοση των αποτελεσμάτων
Υψηλού επιπέδου υπηρεσία που επιτρέπει στο θεράποντα ιατρό σε ελάχιστο χρόνο να λάβει γνώση της κατάστασης του ασθενούς σε όποιο σημείο και αν βρίσκεται
Εικόνα υψηλής ανάλυσης και πολύ υψηλή ποιότητα απεικόνισης δίπλα στο κρεβάτι του εξεταζόμενου.
Απεριόριστες δυνατότητες επεξεργασίας της εικόνας ώστε να αναδειχθούν ειδικά τα ανατομικά σημεία ενδιαφέροντος
Ελαχιστοποίηση της απαιτούμενης δόσης ακτινοβολίας
Ψηφιακή διαχείριση και αποθήκευση της εικόνας για την δημιουργία ηλεκτρονικού αρχείου του ασθενή
Υπηρεσίες Ακτινογραφίας Κατ’ Οίκον

Η δουλειά μας

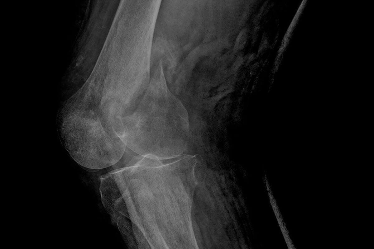
Ακτινογραφία Ποδιού

Ακτινογραφία Χεριού

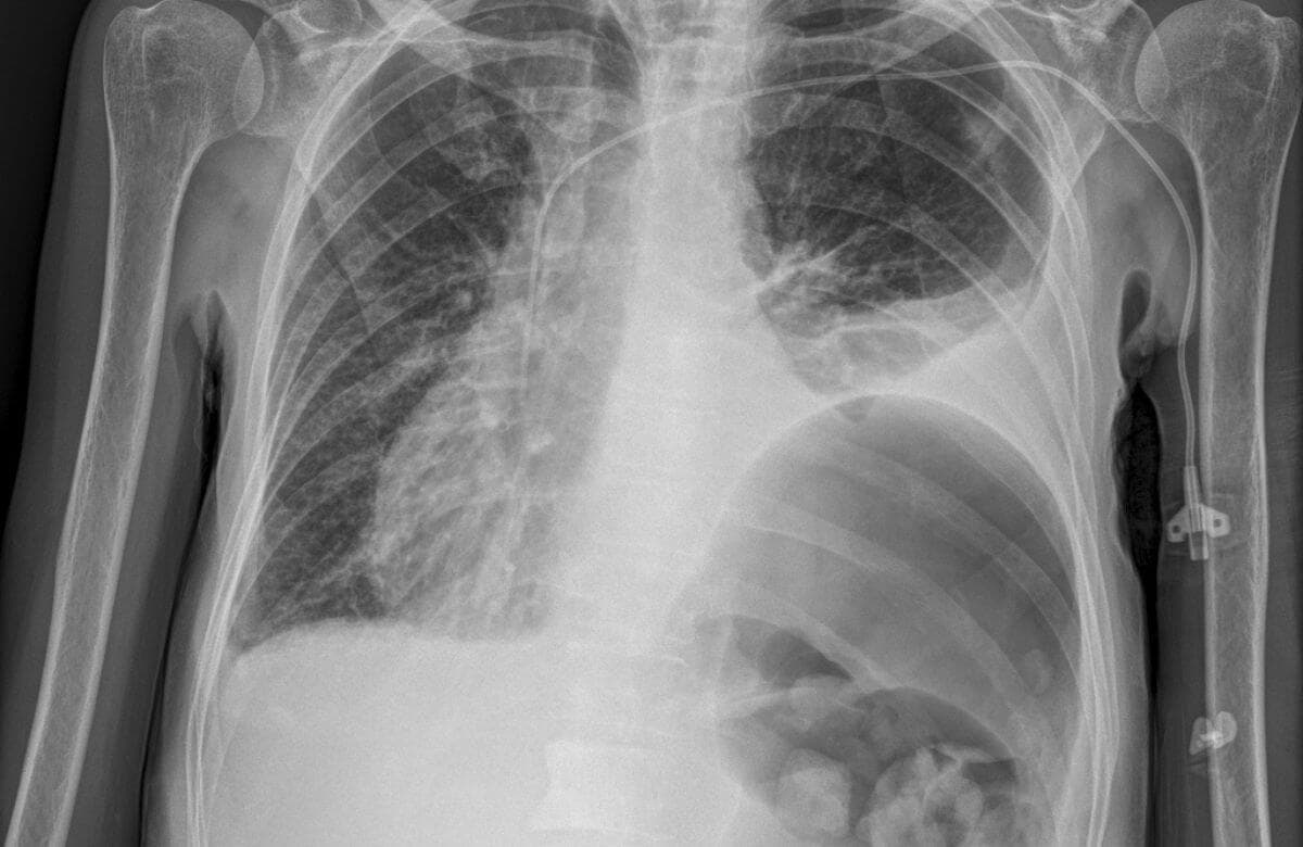
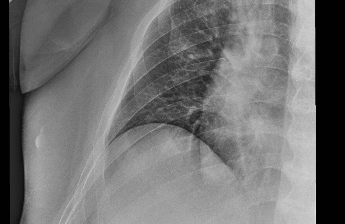
Ακτινογραφία Θώρακος

Ακτινογραφία Λεκάνης Ισχίου

Ακτινογραφία Πλευρών

Ακτινογραφία Ώμου
ΑΚΤΙΝΟΓΡΑΦΙΑ ΚΑΤ' ΟΙΚΟΝ – DOCTOR HOME CARE
Τιμές Ακτινογραφίας Στο Σπίτι
Οι έμπειροι Ιατροί Ακτινολόγοι μας διενεργούν ψηφιακές ακτινογραφίες κατ’ οίκον αποφεύγοντας αναμονές και ταλαιπωρία. Οι ακτινογραφίες διενεργούνται με κορυφαίο φορητό εξοπλισμό και με τη χαμηλότερη ακτινοβολία. Η παράδοση των αποτελεσμάτων είναι άμεση (εικόνες και γνωμάτευση από Ιατρό Ακτινολόγο).
Ενδεικτικές Τιμές:

Ακτινογραφία Θώρακος Κατ’ Οίκον
Η υπηρεσία μας ανταποκρίνεται στις ανάγκες των ασθενών με λοίμωξη του αναπνευστικού όπως από Covid-19. Με άμεση παράδοση των αποτελεσμάτων και γνωμάτευσης δεν χρειάζεται να σας ανησυχεί πως θα πραγματοποιήσετε την εξέτασή σας.
Ψηφιακές ακτινογραφίες θώρακα άμεσα και στην ασφάλεια του σπιτιού σας από το εξειδικευμένο μας προσωπικό.
Στηρίζουμε τους ασθενείς μας προσφέροντας:

Πιστοποιημένος Φορητός Εξοπλισμός Ακτινογραφίας
Ποιότητα Ακτινολογικής Μονάδας
Παρέχουμε εξοπλισμό κατάλληλο για επίτευξη ποιότητας αντάξιας (και μερικές φορές καλύτερης) πλήρους ακτινολογικής μονάδας μεγάλης κλινικής (ειδικές βάσεις στήριξης, αντισκεδαστικά διαφράγματα κλπ).
Ακτινοπροστασία
Βαρύτητα στην ακτινοπροστασία με όλα τα απαραίτητα μολύβδινα επιθέματα, ποδιές, δοσιμέτρα και εκτέλεση ακτινογραφιών σύμφωνα με τις υποδείξεις του Δημόκριτου
Ευελιξία
Ευέλικτος και ιδιαίτερα ελαφρύς εξοπλισμός με 3 λυχνιες για διενέργεια πολλαπλών ακτινογραφιών.

Ακτινογραφία Κατ’ Οικον
Ψηφιακές Ακτινογραφίες Κατ’ Οίκον Όλο Το 24ωρο Με Άμεση Παράδοση Αποτελεσμάτων.
210-6747520
